My Medicine Tale

mymedtale.com

  • Health News
  • Pet Care
  • Personal Health
  • Diet & Food
  • Medications

Home » Health News » Page 150

Health News

Study seeks to look for a better treatment for endometriosis

12.14.2022

Up to 15% of women of reproductive age in the United States suffer from endometriosis, a condition characterized by pelvic […]

Trouble falling asleep at night? Chase that daytime light, study shows

12.13.2022

A study measuring the sleep patterns of students at the University of Washington has turned up some surprises about how […]

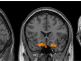
Researchers identify differences in spontaneous brain activity in people with Down syndrome

12.13.2022

Researchers of the Faculty of Psychology, the Institute of Neurosciences (UBNeuro) and the Institute of Complex Systems (UBICS) of the […]

Point-of-care biosensor rapidly detects oral cancer

12.13.2022

Oral cancer is the 13th most common type of cancer globally, and oral squamous cell carcinomas (OSCCs) account for more […]

Adagrasib (Krazati) Approved for KRAS-Mutated NSCLC

12.13.2022

The US Food and Drug Administration (FDA) has granted accelerated approval to adagrasib (Krazati) for use in adults with KRAS […]

Scientists finds stem cell network in ancient fish

12.13.2022

A beating heart. A complicated organ that pumps blood around the body of animals and humans. Not exactly something you […]

CRT Boosts Heart Failure Survival in Extended Follow-Up

12.13.2022

CHICAGO – Extended follow-up of patients with heart failure enrolled in the RAFT trial strengthens the case for starting treatment early with a […]

Dysphagia is the ‘first’ symptom of oesophageal cancer – expert

12.12.2022

Cancer symptoms: Top 14 early signs to look out for We use your sign-up to provide content in ways you’ve […]

Unite Us Partners with Paralyzed Veterans of America

12.12.2022

Unite Us, which seeks to use software to address social determinants of health, will help PVA’s Veterans Career Program assist […]

Healthy beverages placed in Instagram pictures don’t influence sugary drink choices

12.12.2022

Subtly placing healthy beverages in Instagram photos is not an effective way to influence Australians towards consuming nutritious drinks in […]

Posts pagination

« 1 … 149 150 151 … 1,011 »
Medications


Farxiga Extended in the US to Reduce Risk of Cardiovascular Death and Hospitalisation for Heart Failure to a Broader Range of Patients





Vertex Announces U.S. FDA Approval for Trikafta (elexacaftor/tezacaftor/ivacaftor and ivacaftor) in Children With Cystic Fibrosis Ages 2 Through 5 With Certain Mutations





Gov. Newsom Wanted California to Cut Ties With Walgreens. Then Federal Law Got in the Way.



Personal Health

Kwon, Newland named to antibiotic resistance advisory council

12.08.2023

Jennie H. Kwon, DO, an associate professor of medicine in infectious diseases, and Jason G. Newland, MD, a professor of […]

Easing Into Life After Covid

09.18.2023

The United States has generously removed its Covid-19 restrictions, now that roughly half of its adult population has been completely […]

HEALTH NEWS


Want to keep Gen Z off vaping? Teach them about the industry’s marketing tactics, study says





Sexually transmissible infections on the rise, syphilis triples in a decade: Report





Massive drug search uncovers infinitesimal molecule that kills cancers while sparing immune cells



Copyright © 2026

We and our partners use cookies on this site to improve our service, perform analytics, personalize advertising, measure advertising performance, and remember website preferences.