My Medicine Tale

mymedtale.com

  • Health News
  • Pet Care
  • Personal Health
  • Diet & Food
  • Medications

Home » Health News » Page 82

Health News

China’s COVID Wave Raises Concern of Trading Volume Slowdown

05.11.2023

SHANGHAI/SINGAPORE (Reuters) – A fresh wave of COVID-19 is spreading through China as people return from public holiday travel, reaching […]

Novavaxs COVID, Flu Vaccine Candidates Show Promise in Study

05.11.2023

(Reuters) – Novavax Inc said on Tuesday that a mid-stage study of three of its vaccines, including a combination shot […]

British smokers are losing trust in vapes as a better alternative

05.11.2023

British smokers are losing trust in vapes – with more than half now believing they’re just as, or more, harmful […]

People living in the most deprived areas have higher risk of long COVID

05.11.2023

New research has found that the risk of long COVID is strongly associated with area-level deprivation, with the odds of […]

Experts call for monitoring of respiratory vaccine after trials suggest possible increase in preterm births

05.11.2023

Experts have called for further scrutiny of a new Pfizer vaccine given during pregnancy to prevent respiratory infection in infants, […]

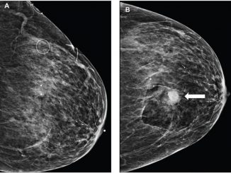
Bleeding after image-guided breast biopsies: Discontinuing vs. maintaining antithrombotic therapy

05.10.2023

According to a study published in the American Journal of Roentgenology (AJR), frequencies of imaging-apparent and palpable hematoma were not […]

Over half of neonatal deaths worldwide are attributed to preterm and small for gestational age births: a call for change

05.10.2023

In a recent study published in The Lancet, researchers estimated prevalence in 2020 for three mutually exclusive types of small […]

Climate change raising heat risks for workers, experts warn

05.10.2023

Rising global temperatures are increasing the risk of workers dying or becoming disabled from laboring in extreme heat, an international […]

Mum 'trapped in her body' gave birth in a coma – but determined to recover

05.10.2023

A new mum is currently fighting to return home to her baby, after she was forced to give birth in […]

More than 7,000 people die needlessly with diabetes every year

05.09.2023

Dr Amir lists diabetes symptoms The “catastrophic” effect of diabetes means more than 7,000 people die needlessly with the disease […]

Posts pagination

« 1 … 81 82 83 … 1,011 »
Medications


Farxiga Extended in the US to Reduce Risk of Cardiovascular Death and Hospitalisation for Heart Failure to a Broader Range of Patients





Vertex Announces U.S. FDA Approval for Trikafta (elexacaftor/tezacaftor/ivacaftor and ivacaftor) in Children With Cystic Fibrosis Ages 2 Through 5 With Certain Mutations





Gov. Newsom Wanted California to Cut Ties With Walgreens. Then Federal Law Got in the Way.



Personal Health

Kwon, Newland named to antibiotic resistance advisory council

12.08.2023

Jennie H. Kwon, DO, an associate professor of medicine in infectious diseases, and Jason G. Newland, MD, a professor of […]

Easing Into Life After Covid

09.18.2023

The United States has generously removed its Covid-19 restrictions, now that roughly half of its adult population has been completely […]

HEALTH NEWS


Want to keep Gen Z off vaping? Teach them about the industry’s marketing tactics, study says





Sexually transmissible infections on the rise, syphilis triples in a decade: Report





Massive drug search uncovers infinitesimal molecule that kills cancers while sparing immune cells



Copyright © 2026

We and our partners use cookies on this site to improve our service, perform analytics, personalize advertising, measure advertising performance, and remember website preferences.